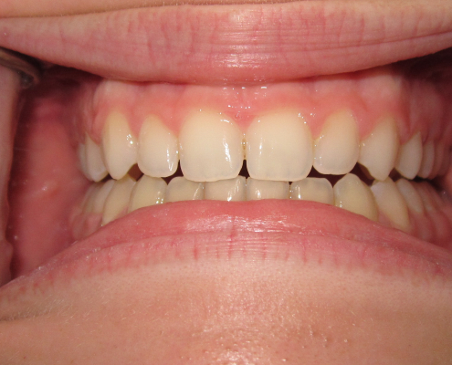
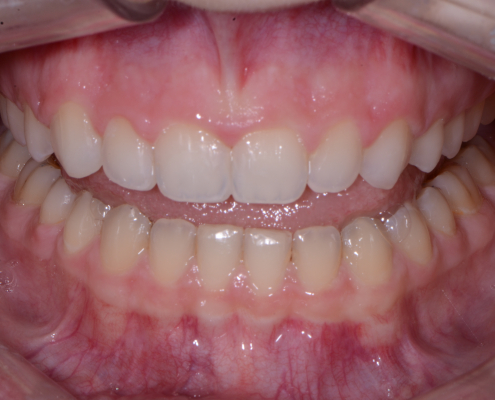
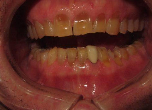
Smile Gallery
We love helping our patients achieve their healthiest, most beautiful smiles. Please take a look at some of the transformations we have created for our patients, then call us to schedule appointment and see what’s possible for your smile.
To view each of our cases in split-screen format, please click on View Images under each case.


























We are proud to have earned over 430 Google Maps Reviews and a 4.9 Rating.